Precision attachments and Telescopic Dentures
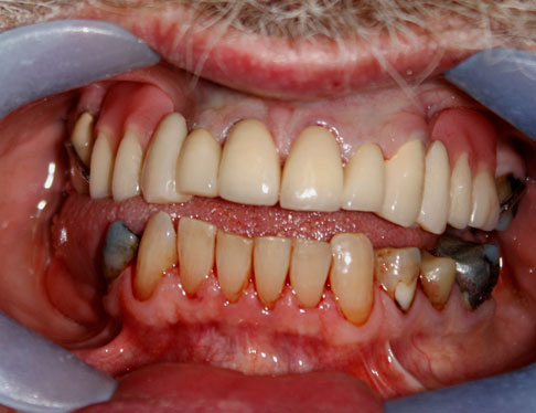
Precision attachment dentures (sometimes called “precision-retained partial dentures”) are removable dentures that clip onto small custom connectors hidden inside crowns or on implants. They provide a secure, comfortable fit without visible metal clasps, blending excellent function with a natural look.
How they work
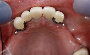
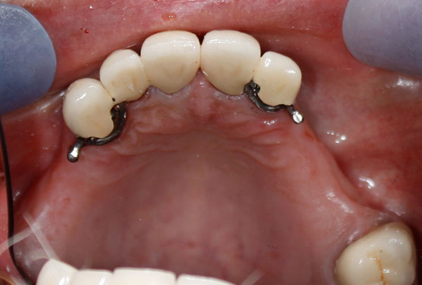
- Hidden connectors: A tiny male–female connector (“attachment”) is built into a crown on a supporting tooth or onto an implant.
- Removable but secure: The matching component is built into the denture. When inserted, the denture clicks into place, improving stability and chewing efficiency.
- Custom engineering: Attachments are precision-made devices (e.g., stud/Locator®, bar, magnet or telescopic/crown-and-sleeve designs) chosen to suit your mouth, bite and aesthetic goals.
Why choose a precision attachment denture?
- No visible clasps – a cleaner smile line and more natural appearance.
- Improved grip & comfort – less rocking or rubbing compared with many clasp dentures.
- Tooth-friendly design – controlled forces on the supporting teeth or implants.
- Serviceable – many attachment components are replaceable when they wear.
- Versatile – works with natural teeth, implants, or a combination.
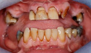
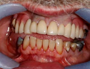
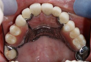
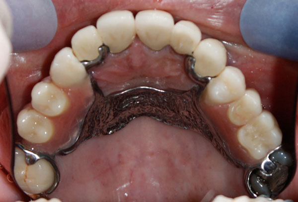
Example:
Is it right for me?
This option can be ideal if you:
- Are missing several teeth but still have healthy teeth suitable for supporting crowns or you have (or plan) a small number of implants.
- Want a removable solution that’s more secure and discreet than a conventional partial denture.
- Prefer to avoid a long span fixed bridge or a large number of implants.
We’ll assess gum health, bone support, your bite, smile line and expectations, then discuss all appropriate options.
What types of attachments are used?
- Stud (Locator®/ball): Low-profile “press-stud” style connectors—popular on implants; simple to service.
- Bar: A rigid bar links two or more supports; the denture clips onto the bar—very stable for uneven ridges or longer spans.
- Magnets: Helpful where space is tight; gentle retention.
- Telescopic (double-crown): An inner crown on the tooth and a precisely fitting outer crown in the denture—excellent retention and guidance, highly aesthetic.
We select the system based on space, hygiene access, load distribution and the number/position of supports.
The treatment journey
- Consultation & planning – photographs, X-rays/3D scan if needed, gum and bite assessment, discussion of options and costs.
- Preparation of supports – this may include placing implants and/or preparing teeth for crowns.
- Precision records – impressions or digital scans; jaw relationship records to map how your teeth meet.
- Trial stage – a try-in to preview tooth position, bite and smile before final fabrication.
- Fit – attachments and denture are fitted; we check comfort, speech and chewing.
- Review & fine-tune – minor adjustments are common while you’re getting used to the new denture.
Looking after your denture
- Daily cleaning: Remove and brush the denture with non-abrasive cleaner; avoid hot water.
- Clean around attachments: Use interdental brushes/floss aids around crowns, bars or implants.
- Service parts wear: Small nylon inserts or clips can wear with time; they are replaceable during maintenance visits.
- Regular reviews: Typically every 6–12 months to check fit, attachments, teeth and gums.
What does it feel like?
Most patients find the fit more secure than a traditional partial denture. Speech and chewing adapt quickly; we’ll guide you on insertion/removal and provide care tips so it becomes second nature.
Alternatives to consider
- Conventional partial denture: Usually lower cost but may show clasps and feel less secure.
- Fixed bridgework: Non-removable, but needs suitable tooth or implant support and may be more extensive.
- Implant-supported fixed teeth: The most fixed option; generally requires more implants, time and cost.
We’ll explain the pros and cons of each for your situation.
Common questions
Will people see the attachments?
No—attachments are hidden within crowns or the denture base; no visible clasps on your front teeth.
Do the parts wear out?
Retention components are designed to be serviceable. Replacing small inserts/clips brings the “click” back without remaking the whole denture.
Can I start with a clasp denture and upgrade later?
Often yes. Many cases can be planned in phases—adding crowns or implants and converting to precision attachments later.
What if I grind my teeth?
We’ll factor this into the design (choice of attachment, bar reinforcement, night-guard if needed) to protect your teeth and the prosthesis.
How long will it last?
With good care and regular maintenance, precision dentures can serve for many years. Gums and bone change over time, so occasional relines or component updates keep the fit and function optimal.
Next steps
If you’d like to explore whether a precision attachment denture is right for you, book a consultation. We’ll examine your teeth and gums, discuss the best attachment system for your case, and give you a clear plan, timeline and itemised fees.
Ready to get started? Send us a message or call the practice and ask for a precision denture consultation.




