Zirconia Crowns
Zirconia crowns are one of the strongest and most natural-looking solutions available to restore damaged or weakened teeth. Made from high-quality ceramic, they combine durability with an attractive, tooth-coloured finish.
Benefits include:
-
Exceptional strength – ideal for back teeth or patients who grind their teeth.
-
Natural appearance – blends seamlessly with your smile.
-
Metal-free – suitable for patients with metal sensitivities.
-
Long-lasting with proper care.
Cost of Zirconia Crowns:
At Dental World Cornwall, Zirconia crowns typically cost between £600 and £900 per tooth, depending on the complexity of the case and the materials used. We will provide you with a full treatment plan and cost estimate after your consultation.
Our advanced digital technology ensures your crown is designed and fitted with precision and comfort, helping you regain both function and confidence in your smile.
Zirconia Crowns – FAQs
How long do Zirconia crowns last?
With good oral hygiene and regular dental check-ups, Zirconia crowns can last 10–15 years or longer.
Are Zirconia crowns better than porcelain crowns?
Zirconia crowns are generally stronger and more durable, making them especially suitable for back teeth and patients who grind their teeth. Traditionally Porcelain crowns may offer slightly higher translucency for front teeth, but modern Zirconia can be individualized and can be superior aesthetically.
Is the procedure painful?
No — the crown preparation and fitting are carried out under local anesthetic to keep you comfortable throughout.
Can Zirconia crowns stain or chip?
They are highly resistant to staining and chipping, making them one of the most durable cosmetic crown options available.
For patients missing multiple teeth, Dental Bridges may be a better alternative.
Zirconia crowns can also be placed on top of Dental Implants for a permanent, natural restoration.
As part of a full Smile Makeover, Zirconia crowns can help achieve a brighter, more confident smile.
Before & After Case Example
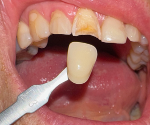
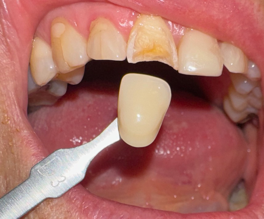
Before:
This patient came to us with a fractured and discoloured upper molar that affected both function and appearance.
After:
We restored the tooth with a digitally designed Zirconia crown. The result is a strong, natural-looking restoration that blends seamlessly with the surrounding teeth.
Your Treatment Journey
-
Consultation
We begin with a full assessment, including X-rays and a digital scan, to check the health of the tooth and discuss your options. -
Tooth Preparation
The tooth is gently reshaped, and a digital impression is taken to ensure your crown is a perfect fit. -
Temporary Crown (if required)
A temporary crown may be fitted to protect your tooth while your custom Zirconia crown is being made. -
Crown Fitting
Your Zirconia crown is tried in, adjusted for comfort and bite, then permanently bonded in place. -
Aftercare & Review
We’ll provide tailored advice on caring for your new crown and arrange a review to ensure long-term success.
Book Your Consultation Today
If you’d like to restore your smile with a strong, natural-looking Zirconia crown, contact our friendly team to arrange your consultation:
📞 01637 881011
📧 reception@dentalworld.co.uk
Dental World Cornwall – helping you smile with confidence


