Dental Bridge Solutions at DentalWorld
At DentalWorld, we understand how missing teeth can affect more than just your smile—they can impact confidence, eating, and overall oral health. A dental bridge offers a reliable and natural-looking solution to restore both function and aesthetics.
What Is a Dental Bridge?
A dental bridge is a fixed restoration that replaces one or more missing teeth. It works by anchoring an artificial tooth (called a pontic) onto the neighbouring teeth (abutments) or onto dental implants. Whether you are missing a single tooth or several, bridges can help close the gap and bring back your smile.
Types of Dental Bridges
-
Traditional Bridge – Uses crowns on both sides of the gap to support the pontic.
-
Cantilever Bridge – Anchored to a single supporting tooth when only one side of the gap is available.
-
Maryland (Resin-Bonded) Bridge – A minimally invasive option using bonded wings, preserving more natural tooth structure.
-
Implant-Supported Bridge – Anchored securely onto implants instead of natural teeth for extra stability.
Your Treatment Journey
-
Consultation & Smile Planning
A thorough assessment with X-rays or scans to plan the most suitable bridge type. -
Tooth Preparation & Impressions
Supporting teeth may be reshaped if needed. Digital scans or impressions are taken to ensure an accurate fit. -
Temporary Bridge
A short-term bridge may be placed while your custom restoration is being created. -
Final Placement
The permanent bridge is carefully fitted and cemented in place, with adjustments for comfort and bite. -
Aftercare & Follow-Up
Mild sensitivity may occur initially, but this quickly resolves. We’ll give you personalised hygiene advice and schedule check-ups to maintain long-term success.
Longevity & Care
-
Durability: Bridges typically last 10–15 years or more with good oral care.
-
Cleaning: Special floss, interdental brushes, or water flossers are recommended to clean under and around your bridge.
-
Maintenance: Routine check-ups help detect any early issues and extend the life of your bridge.
Cost of Dental Bridges
At DentalWorld, private dental bridges are tailored to your needs and crafted with high-quality materials.
-
Cost Range: £600–£1,200 per unit
(depending on the type of bridge, materials used, and case complexity).
We offer clear pricing and flexible payment options to make your treatment as accessible as possible.
Why Choose DentalWorld?
-
Individualised treatment planning
-
Modern technology and materials
-
Experienced dental team
-
Clear costs and flexible payment solutions
-
Supportive aftercare for lasting results
✨ Restore your smile, improve your bite, and regain your confidence with a dental bridge from DentalWorld.
📞01637881011 Contact us today to book your consultation.
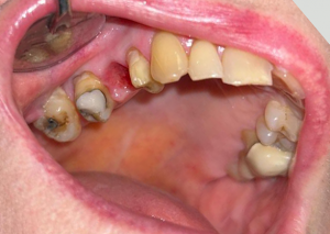
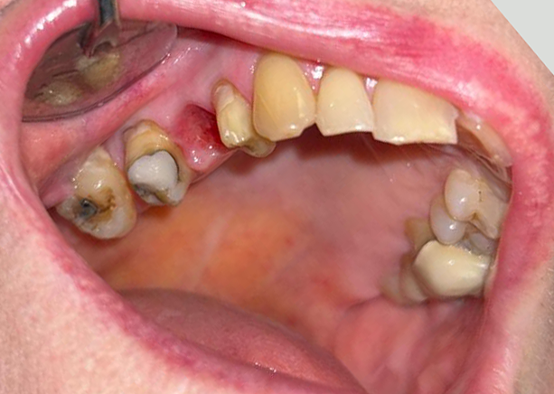
Example: Tooth removal and dental bridge:
First, the tooth is removed, and a Temporary Bridge is placed to allow the gum to heal.
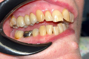
Once the gum has healed, the final bridge can be produced and fitted permanently in the patient’s mouth.
The bridge pictured is made from Zirconia and produced by Dr Nelz in our Dental Laboratory.



